当歯科医院では、十分な問診と診査のもと、マイクロスコープを使用した精密歯科治療を行い、あなたの大切な歯と神経を守ります。
こちらのページでは、他院で治療困難という診断を受け、当院に転院されてきた患者様の症例をご紹介いたします。
(院長関口は、日本顕微鏡歯科学会の認定医資格(県内9名のみ)を取得しています。)
- 痛みが引かない
- 虫歯が治らない
- 歯を残したい
歯の治療についてお悩みの方は、是非一度当院にご相談ください。
症例カテゴリ 一覧
歯髄再生治療

| 主訴 | 他院で、下の前歯を抜歯と言われた。 |
|---|---|
| 治療内容 | 根管治療 |
| 治療期間 | 約半年 |
| 治療費 | 130万円 |
| リスク・副作用 | 根管治療で無菌化されず、幹細胞移植が出来ない場合があります。 |
本症例は、すべて順調に進んでおります。

| 主訴 | 右下第一大臼歯が痛む |
|---|---|
| 治療内容 | 右下第一大臼歯 根に巨大な膿 |
| 治療期間 | 1年経過 |
| 治療費 | 165万円(培養費含む) |
| リスク・副作用 | 根管治療で膿が消えない場合は、歯髄移植は出来ません |
電気歯髄反応プラス
経過良好
歯の亀裂(クラック)

| 主訴 | 下の前歯が欠けた。 |
|---|---|
| 治療内容 | ラバーダム防湿 |
| 治療期間 | 1日 |
| 治療費 | 88,000円 |
| リスク・副作用 | 再破折の可能性があります。 |
現在、歯軋り用マウスピースを併用しています

| 主訴 | 左上が噛むと痛い。 |
|---|---|
| 治療内容 | 亀裂線の確認、診断。 |
| 治療期間 | 3ヶ月 |
| 治療費 | 363,000円 |
| リスク・副作用 | 歯の切削 |
術後4年 経過は良好

| 主訴 | 前歯が欠けしまった。舌に当たって痛む。 |
|---|---|
| 治療内容 | ラバーダム防湿 |
| 治療期間 | 1日 |
| 治療費 | 88,000円(税込) |
| リスク・副作用 | 再破折の可能性 |
見た目気にされていたので、色合わせや形態付与も丁寧に行った。
美しい仕上がりに、患者さんも喜ばれていた。
虫歯治療

| 主訴 | 他院にて抜歯の診断を受けた。 |
|---|---|
| 治療内容 | 虫歯がかなり深かったため、慎重に感染物質を除去。神経を保存。矯正を行い健全な歯質を確 保して、歯肉の手術を行なっている。金属裏打ちのセラミッククラウンを被せた。歯も神経も 抜くことなく綺麗に修復出来たことで、患者様にはとても喜んでいただいた。 ・マイクロスコープ使用 |
| 治療期間 | 6ヶ月 |
| 治療費 | 550,000円 |

| 主訴 | 前医で入れた歯が取れてしまった。見た目を改善したい。 |
|---|---|
| 治療内容 | 上顎テレスコープブリッジ(着脱式)下顎セラミックブリッジ |
| 治療期間 | 2年間 |
| 治療費 | 約2,500,000円 |
| リスク・副作用 | ・予後を完全に保証する治療ではありません。 |

| 主訴 | 前歯の虫歯、見た目が気になる。 |
|---|---|
| 治療期間 | 1回 |
| 治療費 | 66,000円 |
| リスク・副作用 | ・自費診療での治療です。 |

| 主訴 | 左上の銀歯が取れた。他院にて抜歯と言われた。 |
|---|---|
| 治療内容 | 虫歯除去 |
| 治療期間 | 6ヶ月 |
| 治療費 | 660,000円 |
| リスク・副作用 | 外科手術のため、多少痛みと腫れが出ます |
抜歯を回避
審美的にも美しい治療が出来、患者さんは大変満足している

| 主訴 | 右上の銀歯が外れてしまった |
|---|---|
| 治療内容 | ラバーダム防湿下で、虫歯の除去(マイクロスコープ使用) |
| 治療期間 | 1ヶ月半 |
| 治療費 | ¥330,000(税込) |
| リスク・副作用 | 知覚過敏 |
完全防湿
接着修復の原理原則を守る
治療時間は毎回90分程度かかります

| 主訴 | 左下の虫歯が痛む |
|---|---|
| 治療内容 | 患者さんのご希望をカウンセリングでしっかり伺う。 貸切、オーダーメイド診療 |
| 治療期間 | 半年 |
| 治療費 | 1,320,000円(税込) |
| リスク・副作用 | 仮歯の脱離 |
保険治療を受けていたが、あまり良い対応では無かったとのこと。
虫歯は全てマイクロスコープ下で治療。
精度、色合わせにも徹底的にこだわっています。
歯を製作したいる歯科技工士は国内トップレベルの方々を厳選しています。

| 主訴 | 左上奥歯の根の治療希望 |
|---|---|
| 治療内容 | 根管治療+ジルコニアクラウン 合計7歯 |
| 治療期間 | 10ヶ月 |
| 治療費 | 1,650,000円(税込) |
| リスク・副作用 | 仮歯の破損 |
治療時間は毎回90分
貸切・オーダーメイド診療
色調・形態・精度、マイクロスコープを使用して精密に治療を行った
ただ白いだけではなく、ベースの根管治療や虫歯治療を時間をかけて丁寧に行っている

| 主訴 | 前歯の虫歯を治して欲しい |
|---|---|
| 治療内容 | 右上側切歯の虫歯 |
| 治療期間 | 1日 |
| 治療費 | 88,000円(税込) |
| リスク・副作用 | 神経が露出してしまう可能性 |
綺麗に仕上がって、とても喜んでいただいた。
感謝のお言葉をいただくことが、術者として一番嬉しい。
精密根管治療

| 主訴 | 左上奥歯の激痛 |
|---|---|
| 治療内容 | 大量の虫歯と数カ所穿孔(穴)があった。 ・マイクロスコープ使用 |
| 治療期間 | 3ヶ月 |
| 治療費 | 440,000円 |

| 主訴 | 他院で何度も根の治療をしているが、膿が再発する。 |
|---|---|
| 治療内容 | 被せ物を外してマイクロスコープで根の中を観察すると、根が二本に分かれていることが分かった。両方の根を 綺麗に清掃して緊密に薬を充填した。現在術後8年、膿は消失 し、安定した経過をたどっている。 ・マイクロスコープ使用 |
| 治療期間 | 3ヶ月 |
| 治療費 | 440,000円 |
※治療期間中に、痛み・腫れが出る場合があります。
※仮歯が破損することがあります。

| 主訴 | 右上の奥歯の痛みが引かない。 |
|---|---|
| 治療内容 |
根管内にファイル(器具)が破折していた。 ・マイクロスコープ使用 |
| 治療期間 | 3ヶ月 |
| 治療費 | 330,000円 |
※治療期間中に、痛み・腫れが出る場合があります。
※仮歯が破損することがあります。

| 主訴 | 右上奥歯の激痛 |
|---|---|
| 治療内容 |
3軒の歯科医院で原因不明と言われた。 ・マイクロスコープ使用 |
| 治療期間 | 3ヶ月 |
| 治療費 | 440,000円 |
※治療期間中に、痛み・腫れが出る場合があります。
※仮歯が破損することがあります。

| 主訴 | 左下奥歯が腫れた、痛くて噛めない。 |
|---|---|
| 治療内容 | 歯の裏側が破折しており、感染を起こしていた。 ・マイクロスコープ使用 |
| 治療期間 | 3ヶ月 |
| 治療費 | 440,000円 |
※治療期間中に、痛み・腫れが出る場合があります。
※仮歯が破損することがあります。

| 主訴 | 右上犬歯部の鈍痛 |
|---|---|
| 治療内容 | 骨内に大きな膿の存在 ・CT撮影 |
| 治療期間 | 1ヶ月 |
| 治療費 | 220,000円 |
※治療期間中に、痛み・腫れが出る場合があります。
※仮歯が破損することがあります。

| 主訴 | 治療が終わらない 痛み引かない |
|---|---|
| 治療内容 | 開口量が少なく、根の分岐部が低位にあり、手が届かずとても治療が難しい症例だった。 ・マイクロスコープ使用 |
| 治療期間 | 2ヶ月 |
| 治療費 | 440,000円 |
※治療期間中に、痛み・腫れが出る場合があります。
※仮歯が破損することがあります。

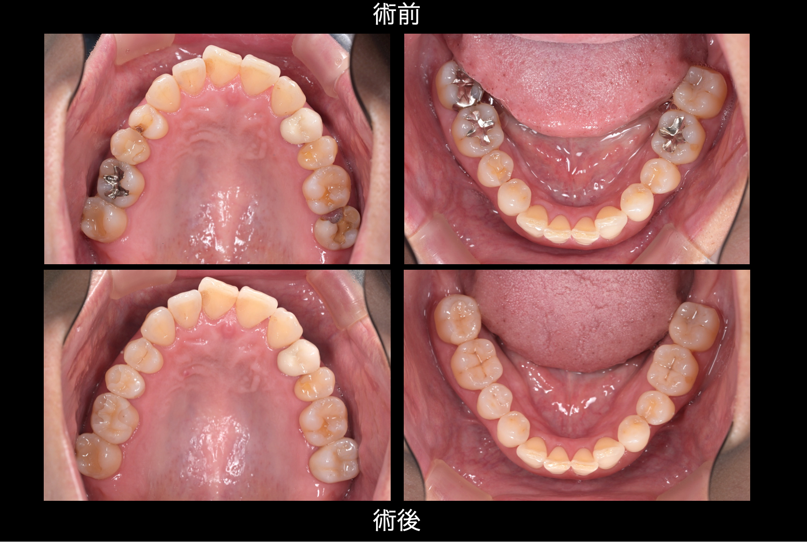
| 主訴 | 他院にて抜歯の診断を受けた。歯を残したい。 |
|---|---|
| 治療内容 | 左下第二大臼歯の遠心(後方)に大きな骨欠損(歯周病による骨吸収)があった。 ・マイクロスコープ使用 |
| 治療期間 | 1年 |
| 治療費 | 660,000円 |
※治療期間中に、痛み・腫れが出る場合があります。
※仮歯が破損することがあります。

| 主訴 | 右下奥歯が痛くて噛めない 歯の破折 |
|---|---|
| 治療内容 | 根の治療を行い保存を試みた。 ・マイクロスコープ使用 |
| 治療期間 | 5ヶ月 |
| 治療費 | 770,000円(2歯分) |
※治療期間中に、痛み・腫れが出る場合があります。
※仮歯が破損することがあります。

| 主訴 | 右上銀歯が痛む 上顎に大きな膿ができた |
|---|---|
| 治療内容 | マイクロスコープによる根管治療 |
| 治療期間 | 3ヶ月 |
| 治療費 | 440,000円(税込) |
| リスク・副作用 | 根管治療に反応しない時がある |
膿、痛みは消失
見えにくい奥歯だが、審美性も妥協なく追求している

| 主訴 | 他院で先週、右下の神経を取った |
|---|---|
| 治療内容 | 右下第二大臼歯の再根管治療 ジルコニアクラウン装着 |
| 治療期間 | 10ヶ月間 |
| 治療費 | 1,100,000円(税込) |
| リスク・副作用 | 歯肉の手術後の痛み |
不適切な治療を受けて、歯科への不信感もお持ちだった
一つ一つ丁寧に説明と施術を行った
審美性にもこだわっている
全体にマッチした色調にしている
笑顔で治療終了 メンテナンスに移行した

| 主訴 | 右下の歯が腫れてしまった。 |
|---|---|
| 治療内容 | 右下第一大臼歯の近心(手前)根は破折していて、保存は不可だった。 |
| 治療期間 | 半年間 |
| 治療費 | 880,000円(税込) |
| リスク・副作用 | 抜根時の痛み、腫れ |
第一大臼歯の遠心(後方半分)を保存
患者さんの歯を残したい想いを優先した治療を行った
色合わせにもこだわっている
抜いた根の部分にもセラミックがフィットするように工夫している
歯間ブラシで清掃出来る設計にして、衛生面への配慮も行なっている
とても喜んでいただいた

| 主訴 | 他院で、右下の根の治療を1年続けている |
|---|---|
| 治療内容 | マイクロスコープで確認すると、治療中の右下第二大臼歯は根管の途中に穴が空いていた(穿孔)。内面から改善を図ったが、出血も多く治らず。 |
| 治療期間 | 8ヶ月 |
| 治療費 | 770,000円(税込) |
| リスク・副作用 | 治療中の痛み |
根の内側に穴が空いていた
とても難易度の高い症例。
通常なら抜歯症例。
一度歯を抜いて、口腔外で処置するため確実な封鎖が期待出来る。
歯を揺らして抜く工夫(ダメージを与えないように)
何としても歯を保存したいという患者さんの希望に応えることが出来た。
とても満足していただいている。

| 主訴 | 左下の歯が激痛で眠れず・・ |
|---|---|
| 治療内容 | 左下第二小臼歯の根の先に、膿(影)の存在。 |
| 治療期間 | 2ヶ月 |
| 治療費 | 165,000円(税込) |
| リスク・副作用 | 治療期間中の痛み 腫れ |
遠方からの来院にも関わらず、真面目に通ってただき、とても順調に治療は進みました。
期待に応えることが出来て安心しています。

| 主訴 | 以前から左上がたまに痛かった。 |
|---|---|
| 治療内容 | 左上第一大臼歯の根が失活(神経が死んでいた)。 |
| 治療期間 | 4ヶ月 |
| 治療費 | 440,000円(税込) |
| リスク・副作用 | 根感治療中の痛みと腫れ |
上顎の奥歯だが、審美的にも美しい仕上がりを意識している。
治療は全てマイクロスコープを使用して、精密な適合と噛み合わせを再現している。
患者さんにはとても喜んでいただいている。
歯周病治療

| 主訴 | 上顎前歯の裏が腫れた。膿んでいる。 |
|---|---|
| 治療内容 |
レントゲンを撮影すると、大きく骨欠損があり、かなり歯周病が進行していた。 ・歯周病の初期治療 |
| 治療期間 | 4ヶ月 |
| 治療費 | 440,000円 |
※治療期間中に、痛み・腫れが出る場合があります。
※仮歯が破損することがあります。

| 主訴 | 歯周病を治したい。歯の見た目も改善したい。 |
|---|---|
| 治療内容 | 歯周病治療/歯列矯正/セラミックブリッジ/インプラント |
| 治療期間 | 3年間 |
| 治療費 | 約4,000,000円 |
| リスク・副作用 | ・予後を完全に保証する治療ではありません。 |

| 主訴 | 重度歯周病による歯の痛みと腫れを治したい。 |
|---|---|
| 治療内容 | 衛生士による口腔衛生指導・歯石除去 |
| 治療期間 | 2年間 |
| 治療費 | 約1,000,000円 |
| リスク・副作用 | ・予後を完全に保証する治療ではありません。 |

| 主訴 | 右下が度々腫れる。 |
|---|---|
| 治療内容 | 右下第二大臼歯の遠心(後方)に大きな骨欠損(歯周病による骨吸収)があった。 |
| 治療期間 | 2年間 |
| 治療費 | 165,000円 |

| 主訴 | 他院にて抜歯の診断を受けた。歯を残したい。 |
|---|---|
| 治療内容 | 左下第二大臼歯の遠心(後方)に大きな骨欠損(歯周病による骨吸収)があった。 ・マイクロスコープ使用 |
| 治療期間 | 1年間 |
| 治療費 | 660,000円 |
※治療期間中に、痛み・腫れが出る場合があります。
※仮歯が破損することがあります。
入れ歯・義歯

| 主訴 | ブリッジが外れてしまい、全く噛めなくなった。 |
|---|---|
| 治療内容 | 上顎テレスコープ義歯(着脱式)下顎クラスプ(金具タイプ)義歯 |
| 治療期間 | 2年間 |
| 治療費 | 約3,000,000円(上下合計) |
| リスク・副作用 | ・予後を完全に保証する治療ではありません。 |

| 主訴 | 歯がグラグラでお粥しか食べられない |
|---|---|
| 治療内容 | 上顎:アタッチメント義歯 |
| 治療期間 | 1年間 |
| 治療費 | 約2,800,000円 |
| リスク・副作用 | ・予後を完全に保証する治療ではありません。 |

| 主訴 | 上の入れ歯が合わない。外れてしまう。 |
|---|---|
| 治療内容 | 上顎:総義歯 |
| 治療期間 | 2年間 |
| 治療費 | 約4,000,000円 |
| リスク・副作用 | ・予後を完全に保証する治療ではありません。 |

| 主訴 | 入れ歯の不具合と虫歯を治したい。 |
|---|---|
| 治療内容 | 上顎テレスコープ義歯(着脱式) |
| 治療期間 | 2年間 |
| 治療費 | 約4,000,000円(上下合計) |
| リスク・副作用 | ・予後を完全に保証する治療ではありません。 |

| 主訴 | 上の歯がグラグラで食事が取れない |
|---|---|
| 治療内容 | 上顎総義歯 |
| 治療期間 | 1年間 |
| 治療費 | 約3,000,000円 |
| リスク・副作用 |
・予後を完全に保証する治療ではありません。 |

| 主訴 | 保険の入れ歯が合わない。食事が美味しくない。 |
|---|---|
| 治療内容 | 上顎金属床義歯 |
| 治療期間 | 6ヶ月 |
| 治療費 | 約1,500,000円 |
| リスク・副作用 | ・自費診療での治療です。 |

| 主訴 | 入れ歯が外れやすい。発音がしにくい。 |
|---|---|
| 治療内容 | 上顎金属床義歯 |
| 治療期間 | 6ヶ月 |
| 治療費 | 約1,500,000円 |
| リスク・副作用 | ・自費診療での治療です。 |

| 主訴 | 保険の入れ歯が合わない |
|---|---|
| 治療内容 | 予後不良の歯の抜歯 |
| 治療期間 | 1年間 |
| 治療費 | 3,850,000円(税込) |
| リスク・副作用 | 仮歯の破損 |
治療期間はかかりますが、全て丁寧に治療を進めます
仮入れ歯を作ることで、最終入れ歯の質が格段に良くなります
安い入れ歯は、大切な治療ステップを全て省いています
入れ歯の素材も高品質なものしか使用しません
妥協のない歯科治療をお勧めいたします
インプラント

| 主訴 | 右下の歯を抜いた。入れ歯にしたくない。 |
|---|---|
| 治療内容 | 骨が足りなかったため、骨を造る手術を行い、半年後にインプラントを埋入した。 |
| 治療期間 | 1年間 |
| 治療費 | 約1,500,000円 |
| リスク・副作用 | ・予後を完全に保証する治療ではありません。 |

| 主訴 | 左下の歯が痛い。 |
|---|---|
| 治療内容 | 骨が足りなかったため、骨を造る手術を行い、半年後にインプラントを埋入した。 |
| 治療期間 | 8ヶ月 |
| 治療費 | 660,000円 インプラント治療のみ |
| リスク・副作用 |
・予後を完全に保証する治療ではありません。 |

| 主訴 | 右下に歯を入れたい。 |
|---|---|
| 治療内容 | 右下2本の歯が割れていた。 |
| 治療期間 | 2年 他の歯の治療含む |
| 治療費 | 1,320,000円 インプラント治療のみ |
| リスク・副作用 | ・予後を完全に保証する治療ではありません。 |

| 主訴 | 歯周病を治したい。歯の見た目も改善したい。 |
|---|---|
| 治療内容 | 歯周病治療/歯列矯正/セラミックブリッジ/インプラント |
| 治療期間 | 3年間 |
| 治療費 | 約4,000.000円 |
| リスク・副作用 | ・予後を完全に保証する治療ではありません。 |

| 主訴 | 左下が噛むと痛い |
|---|---|
| 治療内容 | 左下第一大臼歯精査 |
| 治療期間 | 半年 |
| 治療費 | ¥880,000(税込) |
| リスク・副作用 | 手術後の痛み・腫れ |
抜歯と同時に手術をすることで、治療期間の短縮が出来た
よく噛めると喜ばれている

| 主訴 | 下の部分入れ歯の臭いが気になる |
|---|---|
| 治療内容 | 割れて保存出来ない歯の抜歯 |
| 治療期間 | 半年 |
| 治療費 | ¥1,100,000(税込) |
| リスク・副作用 | インプラント周囲炎(インプラントの歯周病) |
入れ歯から解放されて、お口の中がスッキリした
口臭が気にならない
よく噛める!
矯正歯科

| 主訴 | 歯並びが悪いのが心配 |
|---|---|
| 治療期間 | 4年 |
| 治療費 | 605,000円 |
| リスク・副作用 | 矯正期間中 虫歯リスクが高まるので、ていねいなブラッシングと、定期的なメンテナンスの受診をお願いいたします。 |

| 主訴 | 歯並びガタガタが気になる |
|---|---|
| 治療期間 | 5年 |
| 治療費 | 605,000円 |
| リスク・副作用 | 矯正期間中 虫歯リスクが高まるので、ていねいなブラッシングと、定期的なメンテナンスの受診をお願いいたします。 |

| 主訴 | 反対咬合(受け口)が気になる |
|---|---|
| 治療期間 | 6年 |
| 治療費 | 605,000円 |
| リスク・副作用 | 左下犬歯が埋伏していたので牽引処置を追加しました。期間の延長がありました。 |

| 主訴 | 歯並びガタガタが気になる |
|---|---|
| 治療期間 | 3年 |
| 治療費 | 605,000円 |
| リスク・副作用 | 矯正期間中 虫歯リスクが高まるので、ていねいなブラッシングと、定期的なメンテナンスの受診をお願いいたします。 |

| 主訴 | 前歯の歯並びを治したい |
|---|---|
| 治療期間 | 4年 |
| 治療費 | 605,000円 |
| リスク・副作用 | 矯正期間中 虫歯リスクが高まるので、ていねいなブラッシングと、定期的なメンテナンスの受診をお願いいたします。 |

| 主訴 | 歯を綺麗にしたい |
|---|---|
| 治療内容 | 歯周病治療 |
| 治療期間 | 2年 |
| 治療費 | 4,400,000円 |
※治療期間中に、痛み・腫れが出る場合があります。
※仮歯が破損することがあります。
審美歯科・セラミック治療

| 主訴 | 前歯の色と形を治したい |
|---|---|
| 治療内容 | マイクロスコープによる根管治療 |
| 治療期間 | 半年 |
| 治療費 | 660,000円 |
| リスク・副作用 | 仮歯の破損、脱落 |

| 主訴 | 古くなった前歯を綺麗にしたい |
|---|---|
| 治療内容 | マイクロスコープを使用した根管治療・土台作製2歯 |
| 治療期間 | 8ヶ月 |
| 治療費 | 1,100,000円 |
| リスク・副作用 | 仮歯の破損・ホワイトニングによる知覚過敏 |

| 主訴 | 前歯の形が悪い 笑えない |
|---|---|
| 治療内容 | マイクロスコープによる土台作製・歯の形成 |
| 治療期間 | 3ヶ月 |
| 治療費 | 1,320,000円(4歯合計) |
| リスク・副作用 | 仮歯の破損、脱落 |

| 主訴 | 他院で入れたセラミックの色が合っていない |
|---|---|
| 治療内容 | マイクロスコープによる根管治療・土台作製・歯の形成 |
| 治療期間 | 3ヶ月 |
| 治療費 | 440,000円 |
| リスク・副作用 | 仮歯の破損、脱落 |

| 主訴 | 歯を全体的に綺麗にしたい |
|---|---|
| 治療内容 | マイクロスコープによる根管治療・土台作製・歯の形成 |
| 治療期間 | 3ヶ月 |
| 治療費 | 2,200,000円 (5歯合計) |
| リスク・副作用 | 仮歯の破損、脱落 |

| 主訴 | 変色した前歯を治したい |
|---|---|
| 治療内容 | マイクロスコープによる歯の形成 |
| 治療期間 | 2ヶ月 |
| 治療費 | 363,000円 |
| リスク・副作用 | 仮歯の破損、脱落 |

| 主訴 | 転倒して前歯が折れてしまった |
|---|---|
| 治療内容 | マイクロスコープによる歯の形成 |
| 治療期間 | 2ヶ月 |
| 治療費 | 330,000円 |
| リスク・副作用 | 仮歯の破損、脱落 |

| 主訴 | 前歯の治療をして欲しい(他院からの転院) |
|---|---|
| 治療内容 | マイクロスコープによる歯の形成 |
| 治療期間 | 2年 |
| 治療費 | 1,925,000円(矯正費用含む・前歯のみ) |
| リスク・副作用 | 仮歯の破損、脱落 |

| 主訴 | 前歯の色が何回治しても合わない |
|---|---|
| 治療内容 | 上顎左右中切歯 |
| 治療期間 | 3ヶ月 |
| 治療費 | 660,000円 |
| リスク・副作用 | 仮歯の破損、脱離 |

| 主訴 | 左上の歯の変色 |
|---|---|
| 治療内容 | 小臼歯の抜歯(破折のため) |
| 治療期間 | 3ヶ月 |
| 治療費 | 1,485,000円 |
| リスク・副作用 | 仮歯の破損、脱離 |

| 主訴 | 前歯の見た目が気になる |
|---|---|
| 治療内容 | 歯周病治療 |
| 治療期間 | 半年 |
| 治療費 | 1,100,000円 |
※治療期間中に、痛み・腫れが出る場合があります。
※仮歯が破損することがあります。

| 主訴 | 右上の前歯が欠けてしまった(側切歯) |
|---|---|
| 治療内容 | ラバーダム防湿 |
| 治療期間 | 4ヶ月 |
| 治療費 | 660,000円(税込) |
| リスク・副作用 | 仮歯の脱落 |
ラバーダム防湿をすることで
唾液や湿気の排除
細菌の侵入を防ぐ
接着力の向上
時間はかかるが、これが世界標準の治療法

| 主訴 | 左上に歯を入れたい |
|---|---|
| 治療内容 | 左上6の根管治療 マイクロスコープ・ラバーダム防湿 |
| 治療期間 | 7ヶ月 |
| 治療費 | 1320,000円(税込) |
| リスク・副作用 | 仮歯の破損 |
マイクロスコープを使用した根管治療で、膿は消えて症状も無くなった。
仮歯にを歯肉にピッタり合わせることで、汚れの詰まらないセラミックブリッジが出来る。
一つ一つの処置を丁寧に進めていく。
「安く早く」は出来ない。
心を込めて、良い治療に徹する。
患者さんは抜歯を回避出来て、とても喜ばれた。
ブリッジも快適に使用されている。

| 主訴 | 前歯を綺麗にして欲しい |
|---|---|
| 治療内容 | 右上中切歯 根管治療・土台(ファイバーコア)・仮歯・ジルコニアクラウン(セラミック) |
| 治療期間 | 3ヶ月 |
| 治療費 | 440,000円(税込) |
| リスク・副作用 | 仮歯の破損・脱離 |
前歯1本の治療はとても難易度が高い(審美性)
反対側にシンメトリーに合わせる必要がある
患者さんのご要望が一番大切 しっかり問診して希望に応える
仮歯で形態の確認、表面の性状や質感の希望までしっかり聞き取り、技工士に伝える
納得いくまで妥協しない
