治療の説明
義歯(入れ歯)とは?

義歯(入れ歯)は、失った歯の機能や見た目を補うための人工の歯です。
歯を失ったままにすると、食べ物が噛みにくくなるだけでなく、噛み合わせのバランスが崩れやすくなります。その結果、残っている歯や顎の骨に負担がかかる場合があります。
入れ歯は、歯の代わりになるだけのものではありません。しっかり噛める状態を整えれば、食事を楽しみやすくなり、自然な笑顔や会話もしやすくなります。
義歯治療では、お口の状態や生活スタイルに合わせて入れ歯を作製します。噛みやすさや発音のしやすさ、見た目の自然さにも配慮しながら調整します。
関口歯科では、精密に型取りを行い、丁寧に調整しながら一人ひとりのお口に合う入れ歯を作製しています。快適に使い続けられるよう、フィット感もしっかり整えています。
総入れ歯と部分入れ歯の違い
義歯(入れ歯)には、大きく分けて総入れ歯と部分入れ歯の2種類があります。

総義歯(総入れ歯)

総義歯(総入れ歯)は、すべての歯を失ったときに使用する入れ歯です。顎の骨の上に、人工の歯と歯ぐきを再現した床(しょう)と呼ばれる土台をのせて装着します。歯ぐき全体を覆う構造のため、顎の形に合わせて作ることで安定しやすくなります。
部分義歯(部分入れ歯)

部分義歯(部分入れ歯)は、一部の歯が残っている場合に使用する入れ歯です。歯が抜けた部分を補い、噛む機能や見た目を整える役割があります。残っている歯にバネなどの装置をかけて固定し、入れ歯を安定させる仕組みです。
支えになる歯に負担がかかりすぎないよう、入れ歯の設計や噛み合わせを調整することが大切です。お口の状態に合わせて細かく設計し、残っている歯を守りながら、無理なく使える入れ歯に仕上げます。
自由診療の義歯・入れ歯の種類
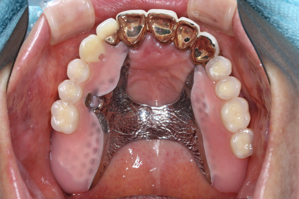
金属床義歯

歯ぐきに触れる床(しょう)の部分が金属で作られた入れ歯です。金属は強度が高いため、薄く作ることができ、口の中での違和感が少ないという特徴があります。また、食べ物や飲み物の温度が伝わりやすく、食事の感覚が自然に近い点もメリットです。耐久性にも優れており、長く使いやすい入れ歯です。
コーヌス義歯

残っている歯に専用の土台(被せ物)を作り、その上に入れ歯をしっかり固定するタイプの入れ歯です。入れ歯を安定させやすく、外れにくく噛みやすい特徴があります。
BPSデンチャー(精密義歯)

BPS(Biofunctional Prosthetic System)は、専用の製作システムを用いて作られる、フィット感に配慮したオーダーメイドの義歯です。精密な型取りと噛み合わせ診断をもとに製作され、一人ひとりの口の形や動きに合わせて設計されるため、フィット感が高く、噛みやすく外れにくいといった特徴があります。当院では、このBPSシステムを用いて、より精度の高い入れ歯製作に取り組んでいます。
ノンクラスプデンチャー

金属のバネを使わない入れ歯です。通常の部分入れ歯では金属のバネを歯にかけて固定しますが、ノンクラスプデンチャーでは歯ぐきに近い色の特殊な素材で固定するため、装着しても目立ちにくくなります。見た目を気にされる方に選ばれることが多い入れ歯です。
義歯・入れ歯の治療が必要となる理由
歯を失ったままにすると、食事のしづらさだけでなく、噛み合わせのバランスが崩れたり、残っている歯に負担がかかったりすることがあります。また、顎の骨が徐々に痩せることで、口元の印象や発音に影響が出る場合もあります。
入れ歯は、こうしたお口全体のバランスを整え、噛む・話すといった機能を補うための大切な治療の一つです。
関口歯科の義歯(入れ歯)治療のこだわり
当院では、入れ歯は「ただ歯を補うもの」ではなく、噛みやすさや使い心地まで含めて整える治療と考えています。そのため、型取りや噛み合わせの確認を丁寧に行い、一人ひとりのお口の状態に合わせた入れ歯づくりを大切にしています。
また、歯科技工士と密に連携しながら、見た目の自然さや違和感の少なさにも配慮し、長く快適に使いやすい入れ歯を目指しています。新しく作る場合だけでなく、現在お使いの入れ歯の違和感や不具合も、お気軽にご相談ください。
義歯・入れ歯のメリット
入れ歯治療には、体への負担が比較的少ないことや、残っている歯を守りやすいことなど、いくつかのメリットがあります。
手術なしで治療できる
入れ歯は、インプラント治療のような外科手術を必要としない治療方法です。そのため、手術に不安を感じる方や、持病などの理由で外科的な治療が難しい方でも検討しやすい方法となります。
体への負担が比較的少ない点は、入れ歯治療の大きな特徴の一つです。
健康な歯を大きく削る必要がない
ブリッジ治療では、失った歯の両隣の歯を削って支えにする必要があります。一方、入れ歯の場合は基本的に周囲の歯を大きく削る必要がありません。
そのため、残っている健康な歯を守りながら治療を進めやすいというメリットがあります。
取り外して清掃ができるから衛生的
入れ歯は自分で取り外せるため、毎日の清掃を行いやすい特徴があります。入れ歯本体だけでなく、お口の中も丁寧にケアすることで清潔な状態を保ちやすくなります。
適切なお手入れを続けることで、入れ歯を長く使いやすくなり、口臭や虫歯、歯周病の予防にもつながります。
修理や調整が可能
入れ歯は、お口の状態の変化に合わせて修理や調整が可能です。長く使っていくうちに、お口の形が少しずつ変化したり、入れ歯が合わなくなったりすることがあります。
そのような場合でも、歯科医院で調整すればフィット感を整えられます。
義歯・入れ歯のデメリットと注意点
入れ歯には多くのメリットがありますが、使用するうえで知っておきたい注意点もあります。
慣れるまでに時間がかかる場合がある
入れ歯は天然の歯とは異なるため、使い始めたばかりの頃は違和感を覚える場合があります。特に総入れ歯では、お口の粘膜を広く覆う構造になるため、慣れるまで時間がかかることがあります。
歯科医院で細かく調整していくと、徐々に違和感は軽減することが多いです。
天然の歯と比べて噛む力が劣る場合がある
入れ歯は顎の骨に直接固定されているわけではないため、天然の歯やインプラントと比べて 噛む力が弱くなることがあります。そのため、硬い食べ物や粘り気のある食べ物は食べにくいと感じる場合があります。
ただし、お口の状態に合った精密な入れ歯を作り、適切に調整すれば、できるだけ噛みやすい状態を目指せます。
定期的な調整やメンテナンスが必要
お口の中の状態は時間とともに変化していくため、入れ歯も少しずつ合わなくなることがあります。そのため、定期的に歯科医院で調整やメンテナンスを受けましょう。
違和感や痛みを我慢して使い続けると、口の中にトラブルが起こる可能性があります。気になる症状がある場合は、早めに相談しましょう。
取り外して清掃する必要がある
入れ歯を清潔に保つためには、毎日の取り外しと丁寧な清掃が欠かせません。お手入れが不十分な場合、汚れがたまり、口臭や歯周病、粘膜の炎症などの原因になることがあります。
清掃方法について不安がある場合は、歯科医院で確認しておくと安心です。
インプラント・ブリッジとの比較
歯を失ったときの治療法には、義歯・入れ歯、インプラント、ブリッジがあります。それぞれ特徴があるため、お口の状態や治療への希望に合わせて選ぶことが大切です。
| 治療法 | 特徴 | メリット | デメリット |
|---|---|---|---|
| 義歯・入れ歯 | 取り外し式 | 保険適用内での選択肢あり。手術不要 | 慣れるまでに時間が必要。噛む力が劣る場合 |
| インプラント | 顎の骨に人工歯根を埋め込む | 自分の歯に近い噛み心地。見た目が自然 | 外科手術が必要 |
| ブリッジ | 失った歯の両隣の歯を削り、連結した歯を被せる | 固定式で違和感が少ない。比較的短期間でできる | 健康な歯を削る必要がある。清掃がしにくい |
義歯・入れ歯について
義歯・入れ歯は、手術を避けたい方に選ばれやすい治療法です。取り外してお手入れできるため、清掃しやすい点も特徴です。
入れ歯に違和感のイメージを持つ方もいますが、お口に合ったものを丁寧に作り、調整を重ねることで使い心地は大きく変わります。当院では、精密な入れ歯を製作し、快適に使いやすい状態を目指しています。
インプラントについて

インプラントは、顎の骨に人工の歯根を埋め込み、その上に人工の歯を取り付ける治療法です。しっかり固定されるため、自然な見た目と、自分の歯に近い噛み心地が期待できます。
一方で、外科手術が必要になるため、体の状態や顎の骨の状態によっては適さない場合もあります。
ブリッジについて

ブリッジは、失った歯の両隣の歯を支えにして人工の歯を固定する治療法です。取り外しの必要がなく、比較的違和感が少ないことが特徴です。
ただし、支えとなる健康な歯を削る必要があり、お口の状態によっては適応できないこともあります。
患者さまによって合う治療は異なります。当院では、それぞれの特徴を分かりやすくご説明し、ご納得いただいたうえで治療を進めています。

























