前歯の虫歯はどう治す?見た目・治療法・保険と自由診療の違いを歯科医師が解説
前歯に虫歯ができると見た目の変化が気になり、不安を感じる方は多いはずです。前歯は奥歯よりも目立ちやすく、口元の印象に影響するため、どの治療方法を選ぶべきか迷いやすい部分でもあります。
さらに初期の虫歯は痛みなどの自覚症状が出にくく、気づいた頃には進行していて、選べる治療が限られてしまうケースもあります。
今回は、前歯の虫歯の特徴から、保険診療と自由診療の違い、それぞれの治療方法、費用、そして予防法まで詳しく解説します。納得できる治療を選ぶためのヒントにしてください。
目次
前歯の虫歯が進行するとどうなる?

前歯の虫歯は初期は気づきにくく、進んでいくと見た目や痛みに大きな影響が出やすい特徴があります。
前歯の虫歯の進行度別症状

初期段階(C0〜C1)では、エナメル質が少しずつ溶け始め、歯の表面が白く濁ったり、わずかに色が変わったりする程度にとどまります。この時点では痛みを感じることはほとんどなく、見逃されやすい傾向があります。
中程度(C2)まで進むと、冷たい飲み物や甘いものがしみるようになり、虫歯の色も以前より濃く見える場合があります。見た目の違和感を覚え始めるのがこの段階です。
さらに虫歯が深く進み神経に達する(C3〜C4)と、歯に大きな穴が開いたり黒ずみが広がったりすることがあります。歯の一部が欠けるケースもあり、ズキズキとした強い痛みが続くようになります。
前歯は変化が目立ちやすいため、進行するほど見た目への影響も大きくなります。
虫歯の進行度については以下の記事でも解説しています。

前歯が虫歯になりやすい原因
前歯は、歯の裏側や歯と歯の間などが 磨き残しが起こりやすい部位です。その結果、プラーク(歯垢)がたまり、虫歯につながります。
口呼吸の習慣があると、唾液の働きが十分に活かされず口の中が乾燥しやすくなります。乾燥した環境では虫歯菌が増えやすく、前歯の虫歯リスクを高める原因となります。
また、糖分を含む飲み物・食べ物を頻繁に摂る、間食の回数が多いといった食生活も影響します。加えてストレスによって唾液の分泌量が減ると、虫歯ができやすい環境になりやすいため、生活習慣全体を見直すことも大切です。
保険診療と自由診療の前歯の虫歯治療の違い

前歯の虫歯治療は、保険診療か自由診療かによって、見た目や耐久性に差が出やすいです。
色が周囲の歯と合わない
保険診療で使われる素材は、色の選択肢が限られているため、周囲の歯と完全になじませるのが難しい場合があります。治療直後は違和感が少なく見えても、時間が経つにつれて変色し、色の差が目立ってくることもあります。
特に前歯は光の当たり方で印象が変わりやすく、笑ったときや会話中に「そこだけ色が違う」と感じることも少なくありません。
形や透明感に違和感が残る
前歯は、歯の丸みや先端のライン、自然な透明感など、細かな要素が見た目に影響します。保険診療の素材では、繊細な部分に限界があり、形がやや不自然に見える場合があります。
近くで見たときや写真に写った際に、治療した部分だけ人工的に見えてしまう可能性がある点は事前に理解しておきたいポイントです。
数年後にやり直しになるケース
保険診療の詰め物や被せ物は、経年とともに変色や摩耗、欠けが起こることがあります。劣化によって歯との境目に段差ができ、そこから再び虫歯が進行するケースも見られます。
再治療を行うたびに削る歯の量が増え、結果的に歯への負担が大きくなる可能性もあるため、長い目で見て治療を考えることが大切です。
【保険診療】前歯の虫歯治療
保険診療では、軽度の虫歯に対してコンポジットレジンと呼ばれる白い樹脂を詰める治療が行われます。比較的小さな虫歯であれば、短期間で治療できる点が特徴です。
虫歯の範囲が広いときや神経に達しているときには、CAD/CAM冠やレジン前装冠といった被せ物が選ばれます。いずれも白い歯に仕上がり、機能回復を目的とした治療として広く行われています。仕上がりや耐久性の特徴は素材ごとに異なりますので、治療前に違いを理解したうえで選択することが重要です。
【自由診療】前歯の虫歯治療
自由診療では、見た目と機能性の両立を実現する治療が可能です。小さな虫歯や欠けには、ダイレクトボンディングを用い、歯の色や形、透明感を細かく調整しながら自然な仕上がりを目指します。
虫歯が大きいときには、オールセラミックやジルコニアなどの被せ物が選択肢となります。これらの素材は審美性と耐久性に優れ、周囲の歯と調和した口元を再現しやすい点が特徴です。
虫歯治療についてはこちらのページもご覧ください。

見た目を気にするなら自由診療

前歯は、顔全体の印象を大きく左右する部位であり、わずかな色や形のずれも目立ちやすいものです。そのため、色合いだけでなく、歯の形や左右のバランスまで細かく考慮する必要があります。
自由診療では、患者さまのお口の状態や希望に合わせて素材を選べるため、色や透明感、歯の立体感まで丁寧に再現した治療が可能となります。
審美性を重視した治療経験が豊富なため、設備や技術面にも力を入れていることが多く、経験や技術力が伴っているでしょう。
自由診療の前歯の虫歯治療の流れと注意点

埼玉県川越市にある関口歯科(当院)でも前歯の虫歯治療を行っています。
当院での前歯の虫歯治療の流れを簡単にご紹介します。
前歯の虫歯治療の流れ
- 初診インタビュー・歯科ドック(精密検査)
・お口の状態を詳しく検査
・見た目の希望や仕上がりイメージを共有
・治療内容・費用の提示
・納得のうえで治療計画を立案 - 虫歯の除去
・虫歯部分を丁寧に取り除く
・歯の状態に応じて処置を実施 - 仮歯の装着(必要に応じて)
・見た目に配慮した仮歯を装着
・噛み心地や日常生活への影響を確認 - 型取り・補綴物の製作
・最終的な詰め物、被せ物の型取り
・歯科技工士と連携
・周囲の歯の色や形に合わせて製作 - 装着・最終調整
・補綴物を装着
・色味、形、噛み合わせを確認
・必要に応じて微調整 - 治療期間の目安
・数回~数ヶ月程度が目安
・虫歯の進行度や治療法によって異なる
・各段階で説明を行いながら進行
さらに詳しく知りたい方は、以下を参考にしてください。

治療後に前歯を長持ちさせるための注意点
治療後の前歯をきれいに保つためには、毎日のセルフケアが重要です。特に、治療した歯と天然歯の境目は汚れがたまりやすいため、歯ブラシに加えてフロスや歯間ブラシを使ったケアが効果的です。
セラミックなどの素材は変色しにくいものの、コーヒーや紅茶、赤ワインなどの着色しやすい飲食物を頻繁に口にすると、周囲の歯との色の差が気になることがあります。定期的に歯科医院でクリーニングを受けることで、口元の清潔感を保ちやすいです。
治療した部分だけでなく、お口全体の健康を維持するためにも、3ヶ月から6ヶ月ごとに検診を継続し、トラブルを早めに防ぐようにしましょう。
虫歯を防ぐためにできる予防とケア

前項でも紹介したように、前歯の虫歯を防ぐには毎日のセルフケアと歯科医院での定期的なケアを組み合わせることが大切です。
自宅でできる前歯の虫歯予防
自宅での対策としては、歯ブラシ選びと磨き方がポイントになります。毛先の細い歯ブラシやヘッドが小さいタイプは、前歯のカーブや細かい部分まで磨きやすくなります。
前歯の裏や歯と歯の間、歯と歯ぐきの境目は特に汚れが残りやすいため、意識して丁寧に磨きましょう。
歯ブラシだけで落としきれない汚れには、デンタルフロスや歯間ブラシの併用が効果的です。
毎日のケアにフッ素配合の歯磨き粉や洗口液を取り入れると、歯を強くし、虫歯になりにくい状態を保ちやすくなります。
また、甘い飲食物をだらだら摂らない、間食の回数を見直すといった食生活の工夫も、前歯の虫歯予防につながります。
定期検診とクリーニング
日々のセルフケアだけでは、歯石や細かな汚れを完全に取り除くのは難しいものです。歯科医院での定期検診とクリーニングを受け、虫歯や歯周病を早い段階で見つけられるようにしましょう。
歯科医院でのクリーニングでは、普段の歯磨きでは落とせない歯垢や歯石を除去し、お口の中を清潔に整えます。必要に応じてフッ素塗布を行い、歯質を強化することも可能です。
定期検診では、磨き残しの癖に合わせたブラッシング指導や、生活習慣に関するアドバイスも受けられます。
継続して通院し、前歯の健康と見た目を長く守りましょう。
関口歯科の前歯の虫歯治療のこだわり

関口歯科では、見た目と機能の両面に配慮した前歯の虫歯治療を大切にしています。
一人ひとりに合わせた前歯の虫歯治療を提案
関口歯科では、患者さまごとのライフスタイルやお悩みをふまえた治療提案を行っています。初回のカウンセリングでは、前歯の見た目に関する悩みや、治療後に目指したい口元のイメージについて丁寧にヒアリングします。
審美性だけでなく、噛みやすさや耐久性、治療にかかる費用についても具体的に説明し、納得したうえで治療を選べる環境を整えています。治療費用は事前に見積もりを提示し、不明点が残らないよう1つひとつ確認しながら進めます。
なお、関口歯科は自由診療を専門としています。詳しくは以下をご覧ください。

初診のご予約はWeb予約にも対応しており、忙しい方でも通院しやすい体制を整えています。安心して治療に臨めるよう、情報提供と相談の時間を大切にしています。
初診の流れはこちらからご確認いただけます。

前歯の仕上がりを重視した治療

前歯の虫歯治療では、治した部分が自然に見えることを大切にしています。ラバーダム防湿を行い唾液の侵入を防いだ清潔な環境を確保したうえで、高倍率のマイクロスコープなどを活用し、細かな部分まで確認しながら精密な治療を行います。 健康な歯を削る量を抑えつつ、自然な形や色合いの再現を目指していします。
治療後も、定期的なメンテナンスや再発を防ぐためのケア方法を継続的にサポートしています。治療して終わりではなく、その後まで見据えたフォローを行うことで、前歯の美しさと健康を長く保てるよう努めています。
関口歯科のマイクロスコープ・顕微鏡治療についてはこちらのページをご覧ください。

ライフスタイルに合わせた
最適な治療法を提示いたします。
関口歯科の前歯の虫歯治療の症例
「前歯の虫歯をどう治すときれいに仕上がるのか」と悩まれる方は少なくありません。関口歯科で実際に行った前歯の虫歯治療の症例をご紹介します。
【45歳女性】

前歯の虫歯が以前から気になっており、見た目への影響を心配されて来院されました。虫歯が大きくなってきたこともあり、マイクロスコープを使った精密な治療をご希望されました。
治療ではラバーダム防湿を行い、マイクロスコープ下で虫歯を丁寧に除去しました。その後、周囲の歯に合った色調のレジンを充填し、細かく研磨して自然な見た目に仕上げています。
治療後は、虫歯があったことが分かりにくい状態となり、見た目の不安も軽減したそうです。
| 主訴 | 前歯の虫歯、見た目が気になる。以前から気になっていた虫歯が大きくなってきた。マイクロスコープを使って治してほしい。 |
| 治療期間 | 1回 |
| 治療費 | 66,000円 |
| リスク・副作用 | 自由診療での治療です。色調を合わせることが難しく、一度で色調が再現できないことがあります。再度色合わせが必要になるケースがあります。 |
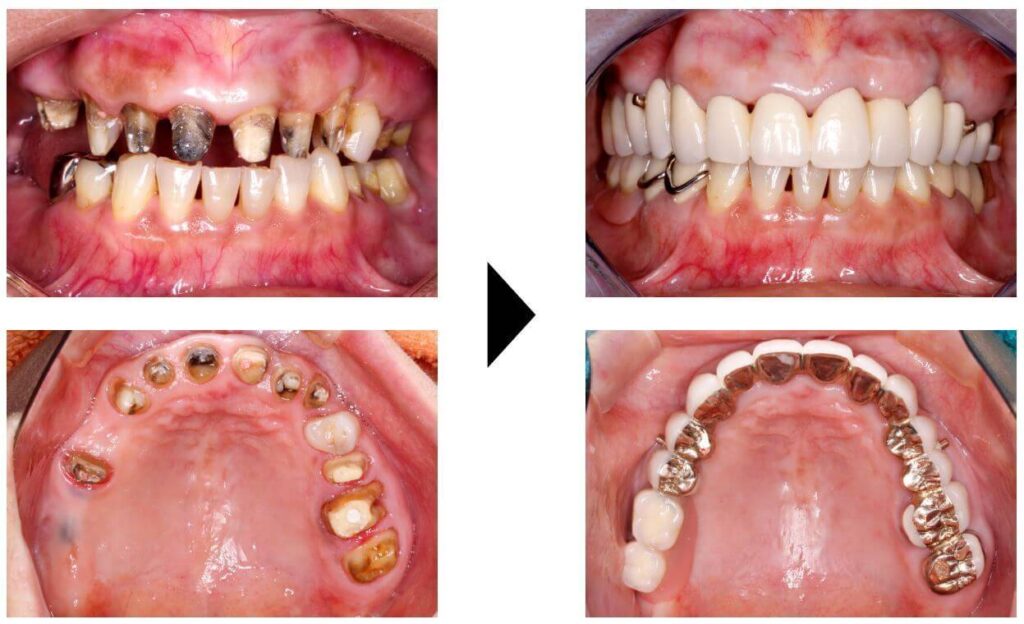
【55歳女性】

以前の歯科医院で入れた前歯の被せ物が外れてしまい、「口元の見た目を整えたい」とご相談をいただきました。診察の結果、前歯を含む複数歯に虫歯や歯周病の進行が見られ、審美面だけでなく将来的な安定性も考慮した治療計画が必要な状態でした。
検討の結果、上顎の前歯部には着脱式のテレスコープブリッジを、下顎にはセラミックブリッジを選択されました。テレスコープブリッジは取り外しできるため、前歯周囲を清潔に保ちやすく、長期的な管理がしやすい点が特徴です。
前歯はわずかな色や形の違いでも印象に影響するため、見た目の自然さを重視しながら、機能面とのバランスも考慮して治療を進めました。現在は口元の印象が整い、見た目と機能の両面で安定した状態が保たれています。
| 主訴 | 前医で入れた歯が取れてしまった。見た目を改善したい。 |
| 治療内容 | 上顎テレスコープブリッジ(着脱式)下顎セラミックブリッジ |
| 治療期間 | 2年間 |
| 治療費 | 約2,500,000円 |
| リスク・副作用 | 予後を完全に保証する治療ではありません。自由診療での治療です。色調を合わせることが難しく、一度で色調が再現できないことがあります。再度色合わせが必要になるケースがあります。精密な装置であるため、装置を落としたときに壊れやすいです。 |
関口歯科で行っている虫歯治療の症例は、こちらのページからもご覧いただけます。あわせてご確認ください。

ライフスタイルに合わせた
最適な治療法を提示いたします。
前歯の虫歯治療に関するよくある質問(FAQ)

前歯の虫歯については、見た目や痛み、治療方法に関する不安を抱く方が多く見られます。患者さまからよく寄せられる質問をまとめました。
前歯の歯と歯の間にある黒い点は虫歯ですか?
歯と歯の間に見える黒い点は、必ずしも虫歯とは限りません。着色汚れや歯石、初期の虫歯(C1)、過去の治療の跡など、さまざまな原因が考えられます。
見た目だけで判断するのは難しく、実際には問題がないケースもあります。自己判断せず歯科医院で確認することで、過度に心配せずに済みます。
前歯の虫歯は自分で治せますか?
虫歯は自然に治ることはありません。また、市販の薬やセルフケアで虫歯そのものを治すこともできません。
放置すると症状が悪化し、治療の選択肢が限られる可能性もあります。早めに歯科医院で診断を受け、適切な治療を行うことが大切です。
前歯の虫歯治療は痛いですか?
前歯の虫歯治療では、麻酔を使用するため、治療中に強い痛みを感じることはほとんどありません。虫歯の深さによって刺激の感じ方に差はありますが、多くは問題なく治療を受けられます。
痛みが心配なときは、事前に相談すれば麻酔方法などに配慮してもらえる場合もあります。
前歯の虫歯治療でできるだけ削らずに治すことはできますか?
削る量は虫歯の進行度によって異なりますが、早期に発見できれば最小限に抑えられる可能性があります。精密な検査やマイクロスコープを使用した治療であれば、できる限り健康な歯を残しながら虫歯を取り除けます。
状態によっては、歯をできるだけ残す治療が可能となるため、早めの受診が重要です。
前歯の初期虫歯のサインは何ですか?
初期の虫歯では、歯の表面が白く濁る、薄く変色する、触るとざらつくといった変化が見られることがあります。この段階では痛みが出にくく、自分では気づきにくいのが特徴です。
定期的に歯科検診を受けると、こうした小さな変化を早めに見つけやすくなります。
前歯の虫歯で気づきにくい場所はありますか?
前歯の裏側や歯と歯の間は、虫歯ができても気づきにくい部位です。鏡で見えにくく、症状も出にくいため、悪化してから発見されることもあります。
見た目に異常がなくても、定期検診を受け、こうした変化を見逃さないようにしましょう。
前歯の歯の間の虫歯をきれいに治す方法はありますか?
前歯の歯の間は特に見た目への影響が出やすいため、見た目を重視する場合は自由診療が検討されます。
ダイレクトボンディングやセラミック治療では、色や透明感、形を周囲の歯に合わせて細かく調整できます。歯と歯の境目も自然に再現しやすく、治療の跡が目立ちにくいです。
前歯の虫歯を予防するにはどうしたらいいですか?
前歯の虫歯予防には、毎日の丁寧な歯磨きが欠かせません。歯ブラシに加えて、デンタルフロスや歯間ブラシを使い、歯と歯の間までしっかり清掃しましょう。
間食の回数や糖分の摂取を見直すことも虫歯を防ぐことにつながります。
前歯の虫歯を治療するなら関口歯科へ

前歯の虫歯は、見た目の印象だけでなく、お口全体の健康にも関わります。そのためできるだけ早く気づき、状態に合った治療を受けることが大切です。
関口歯科では、患者さま一人ひとりの症状やご希望を丁寧に伺い、自由診療の中から最適な治療方法をご提案しています。特に前歯の治療では、見た目の自然さにも配慮した選択肢をご提案し、笑顔に自信を持てる仕上がりを目指しています。
治療後も、プロフェッショナルケアや定期検診を通じて、健康で美しい口元を長く保てるようサポートしています。前歯の虫歯が気になる方は、気軽に関口歯科へご相談ください。不安や疑問に1つずつ向き合い、納得できる治療へとつなげていきます。
ライフスタイルに合わせた
最適な治療法を提示いたします。
-
日本歯科大学歯学部
-
丸山歯科クリニック(渋谷区)
-
四谷三丁目歯科矯正歯科(新宿区)
-
Academy of Microscope Enhanced Dentistry(アメリカ顕微鏡歯科学会)認定医
-
日本顕微鏡歯科学会 認定医
-
日本歯周病学会 認定医
-
日本有床義歯(入れ歯)学会 認定医
-
BPSデンチャー(総義歯)クリニカルデンティスト
-
臨床歯科を語る会
-
F会
もっと見る




