前歯の入れ歯おすすめの選び方|種類・費用・注意点を歯科医師が解説
前歯を失ってしまい、「入れ歯にできるの?」、「できるだけ自然に見えるものを選びたい」と悩む方は多くいます。前歯は見た目だけでなく、笑ったときの印象や話し方にも大きく関わる大切な部分です。そのため治療を考えるときは、見た目だけでなく、発音や噛む力への影響も意識したいところです。
入れ歯には、保険診療と自由診療があり、それぞれにメリット・デメリットや費用の違いがあります。今回は、前歯の入れ歯について、種類や特徴、費用の目安、選ぶときの注意点までを歯科医師の視点でわかりやすくまとめました。自分に合った治療法を選ぶヒントとして、ぜひ参考にしてください。
目次
前歯の入れ歯とは

前歯の入れ歯は、失った前歯を補って見た目や噛む力、発音を回復するための治療法です。特に前歯は笑顔や会話の印象を左右するため、見た目の自然さはもちろん、機能面にも配慮した入れ歯選びがポイントになります。
前歯の入れ歯が適応となる条件や、他の治療法との違いをわかりやすく整理しますので、治療法を選ぶ際のヒントにしてください。
前歯に入れ歯を入れられる条件
前歯に入れ歯を入れるかどうかは、欠損している歯の本数や位置によって異なります。
- 前歯を含む1本〜数本の欠損:部分入れ歯
- 前歯・奥歯すべてを失っている:総入れ歯
また、入れ歯を支える歯(支台歯)の状態も重要です。歯周病が進んでいたり、歯がぐらついていたりする場合は、入れ歯の適応が難しくなることもあります。
前歯は顔の印象に直結するため、見た目の自然さ(審美性)と噛む・話す機能(機能性)のバランスが欠かせません。放置すると、噛み合わせの乱れや発音のしづらさ、さらに顎の骨が痩せてしまうといったリスクもあるため、早めの治療が大切です。
前歯の入れ歯と他治療の比較
前歯を失った場合の治療法には、入れ歯・ブリッジ・インプラントがあります。それぞれにメリット・デメリットがあるため、自分の状態や希望に合った選択が必要です。
入れ歯
入れ歯は取り外し可能で、なくなった前歯を補う方法として比較的手軽に始められるのが特徴です。外科手術の必要がなく、体への負担も少ないため、高齢の方や持病がある方にも選ばれやすい治療法です。
保険が適用され、コストを安く抑えられるケースもありますが、金属のバネが目立つ場合があることや、装着時に違和感を覚えること、使っているうちにズレやすくなるなどの課題もあります。
入れ歯治療について詳しくは、こちらをご覧ください。

ブリッジ
ブリッジは、失った歯の両隣にある歯を削り、その上に橋をかけるように人工の歯を固定する方法です。取り外す必要がない固定式のため、噛んだときの安定感があり、装着時の違和感も比較的少ないのがメリットです。
また、発音や食事の際も自然に近い感覚が得られます。一方で、健康な歯を削らなければならないケースがある、支えとなる歯に負担がかかるというデメリットがあります。長期的に見ると、支えとなる歯の健康状態にも注意が必要です。
インプラント
インプラントは、顎の骨に人工の歯根(インプラント体)を埋め込み、その上に人工の歯を装着する治療法です。見た目の自然さや、しっかりと噛める機能性の高さが魅力で、他の歯を削る必要もありません。
そのため、周囲の歯への負担を抑えながら、長く安定して使える点が評価されています。
ただし、外科手術が必要となり、治療期間も数か月に及ぶことが一般的です。また、保険適用外となるため、費用は高額になる傾向があります。骨の量や質によっては治療が難しい場合もあるため、事前の診断が重要です。
インプラント治療については、こちらをご覧ください。

前歯の入れ歯おすすめの選び方

前歯の入れ歯は、見た目や話しやすさ、食事のしやすさなど、日常生活の快適さに直結します。だからこそ、どれを選ぶかはとても大切なポイントです。自分に合った入れ歯を見つけるには、見た目・発音・安定感の3つの視点から考えてみると選びやすくなります。
自然な見た目で選ぶ
前歯は、笑顔や会話、写真に写ったときなど、日常の中で目立つ場所です。そのため、入れ歯を選ぶうえで、見た目の自然さは外せない要素といえます。
保険診療で使われるレジン床義歯は、金属のバネが見えることで入れ歯だと気づかれやすく、見た目が気になるという声も少なくありません。一方、自由診療の入れ歯には、金属のバネを使わないノンクラスプデンチャーや、歯ぐきや歯の色に近い素材を使ったタイプがあり、自然になじみやすいのが特徴です。
人前に出る機会が多い方や、見た目にこだわりたい方には、こうした自由診療の入れ歯が選ばれるケースも増えています。
発音のしやすさで選ぶ
前歯は、発音にも大きく関わっています。特に、サ行・タ行・ラ行などは、舌と前歯の位置がズレるだけで発音が不明瞭になってしまうことがあります。
保険診療で作られる入れ歯は、どうしても厚みが出やすく、その影響で言葉が聞き取りにくくなるケースもあります。それに対して、自由診療の入れ歯は、精密な型取りや細かい設計ができるため、舌の動きを妨げにくく、より自然な発音がしやすい傾向があります。
仕事や日常生活で人との会話が多い方にとって、発音のしやすさは大きな安心材料になります。言葉がはっきり伝わることで、人間関係のストレスも減らせるかもしれません。
安定感で選ぶ
毎日の食事をしっかり楽しむためには、入れ歯の安定感が重要です。もし入れ歯がズレやすかったり、外れやすかったりすると、食べづらさや不安を感じる原因になってしまいます。
保険診療の入れ歯は素材や作りに制限があるため、どうしてもフィット感に限界が出ることがあります。自由診療では、噛み合わせやお口の形に合わせて丁寧に調整できるため、装着時の安定感が得られやすくなります。安定した装着感が得られれば、食事や会話のストレスも大きく減らせるでしょう。
前歯の入れ歯の種類と特徴

前歯の入れ歯には、保険診療の基本的な入れ歯から、自由診療で選べる見た目や機能性に優れた入れ歯まで、さまざまな選択肢があります。
それぞれに費用や素材、使い心地の違いがあるため、自分の希望やライフスタイルに合ったものを選ぶことが大切です。保険・自由診療それぞれの代表的な入れ歯の種類と特徴を見ていきましょう。
保険診療の前歯の入れ歯
保険診療で対応できる前歯の入れ歯は、レジン床義歯と呼ばれるタイプです。費用を抑えて治療を始められる点がメリットです。治療期間も短く、初めて入れ歯を試す方にも選ばれる傾向があります。
ただし、素材の特性上どうしても厚みが出やすく、装着時に違和感を覚えるケースもあります。
また、前歯に使う場合は金属のバネが目立ちやすいため、見た目の自然さを重視する方にとっては物足りなさを感じることもあるでしょう。見た目や使い心地にこだわりたい場合は、自由診療も視野に入れた検討がおすすめです。
自由診療の前歯の入れ歯
自由診療では、素材や構造に制限がなく、より快適で自然な入れ歯を追求できます。見た目・噛み心地・耐久性など、トータルで満足度の高い仕上がりが期待できるのが魅力です。
関口歯科では、精密な設計と高品質な素材を用いた自由診療の入れ歯を複数ご用意しています。ここからは代表的な4つの種類として、金属床義歯・コーヌス義歯・BPSデンチャー(精密義歯)・ノンクラスプデンチャーの特徴をご紹介します。
金属床義歯

金属床義歯は、入れ歯の土台部分に金属を使用することで、薄くて丈夫な入れ歯を実現しています。装着時の違和感が少なく、発音や食事のしやすさが高く評価されています。また、金属ならではの熱伝導性により、食べ物や飲み物の温度を自然に感じられる点もメリットです。
一方で、金属アレルギーのある方には注意が必要です。長く使いたい方や、快適性を重視する方に適した選択肢といえるでしょう。
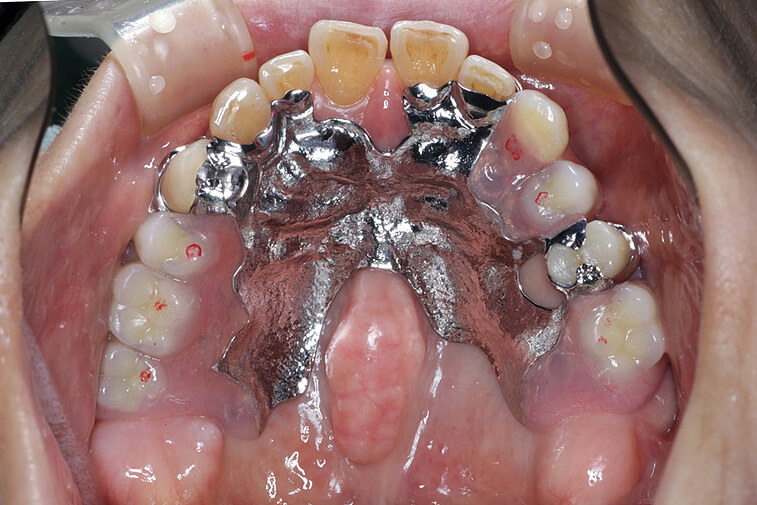
コーヌス義歯
コーヌス義歯は、支えとなる歯に内冠を装着し、その上から義歯側の外冠を重ねる二重構造で作られる入れ歯です。この独特の仕組みによって高い安定性と密着性を持ち、金属バネが不要なため見た目にも自然に仕上がります。
インプラントに近い安定感を得られるとして、しっかり噛みたい方にも支持されている方法です。ただし、支台となる歯を削る必要があることや、治療工程・費用ともに一般的な入れ歯より負担が大きくなる点には注意が必要です。
BPSデンチャー

BPSデンチャー(精密義歯)は、顎の動きや表情筋、発音の動作まで考慮しながら、精密な型取りと工程を経て作られる高精度な入れ歯です。自然な見た目とフィット感を両立できる設計で、見た目・噛む力・装着感すべてを重視したい方に向いています。
自由診療の中でも特に評価の高い方法ではありますが、製作に時間がかかり、費用も比較的高めとなるため、長期的な満足を重視する方におすすめの治療法です。
ノンクラスプデンチャー
ノンクラスプデンチャーは、金属のバネを使わず、歯ぐきに近い色の柔らかい樹脂で作られる入れ歯です。装着しても目立ちにくく、見た目の自然さを重視したい方に人気があります。素材がやわらかく、フィット感に優れているのも特徴です。
ただし、耐久性はやや劣り、使用年数は3〜5年程度とされており、定期的な交換が必要になることもあります。自然な見た目を最優先したい方には適していますが、長期的なコストも含めて検討することが大切です。
入れ歯の種類や特徴については、こちらの記事でも解説しています。

前歯の入れ歯の費用相場

前歯の入れ歯にかかる費用は、保険診療と自由診療で大きく異なります。保険適用の入れ歯は比較的安く始められますが、素材や見た目に制限があります。一方で自由診療の入れ歯は、機能性や審美性に優れる反面、費用が高額になることもあります。それぞれの費用相場を整理してご紹介します。
保険適用の前歯の入れ歯費用
保険診療のレジン床義歯は、自己負担3割が基本です。費用の目安は数千円~1万円程度とされています。治療期間も短く、費用を抑えて入れ歯を始めたい方にとっては、手軽に利用しやすい方法です。
ただし、使える素材や設計に制限があるため、装着感や見た目の自然さに物足りなさを感じることもあります。
特に前歯は人目に触れやすい場所なので、「まずは噛めるようにしたい」といったシンプルなニーズには向いていても、見た目や使い心地にこだわりたい方には他の選択肢の方が向いている場合もあります。
自由診療の前歯の入れ歯費用
自由診療の入れ歯は、使用する素材や作り方によって費用に大きな幅があります。数十万円〜200万円以上の費用がかかることがあり、種類によって費用も異なります。
費用は高くなりますが、審美性や快適性、耐久性に優れており、見た目も機能も重視したい方には高い満足感が得られる傾向があります。長く使うことを前提に考えるなら、最初にしっかり投資しておくという選択も十分現実的といえるでしょう。
費用と耐用年数・メンテナンス
入れ歯を選ぶときは、初期費用だけでなく、使い続けるうえでかかる維持費も見ておきたいポイントです。保険の入れ歯はおおよそ3〜5年が寿命とされ、経年による変形や装着感の変化に応じて、調整や再製作が必要になります。
一方、自由診療の入れ歯は丁寧な設計と高品質な素材により、適切なメンテナンスを行えば10年以上使い続けられることもあります。
最初の費用はかかりますが、交換頻度が少なく、長期的にはコストパフォーマンスに優れていると感じる方も多いようです。費用だけで判断せず、耐用年数や通院頻度も含めて比較するようにしましょう。
入れ歯の費用についてこちらの記事でも解説していますので、ぜひご覧ください。

前歯を入れ歯にする際の注意点

前歯の入れ歯は、見た目の印象だけでなく、発音やかみ合わせ、日常の動作にも大きく関わってきます。たとえ精度の高い入れ歯を作ったとしても、使い方やお手入れに問題があると、さまざまなトラブルの原因になることもあります。ここでは、使用時に気をつけたいポイントや、気持ち良く使い続けるための注意点について整理します。
合わない入れ歯を使うリスク
フィットしていない入れ歯をそのまま使い続けると、口内炎や歯ぐきの痛みなどの症状が出ることがあります。さらに、噛む力がうまく分散されず、顎の骨が徐々に痩せてしまう原因にもなりかねません。
前歯の場合は見た目や発音にも影響が出やすいため、違和感がある状態で無理に使い続けるのは避けたいところです。また、支えとなる歯や周囲の歯に余計な負担がかかると、それらの歯の寿命を縮めてしまうことにもつながります。
もし「ちょっと合わないかも」と感じたら、自分で調整しようとせず、できるだけ早めに歯科医院を受診して調整することが大切です。
メンテナンスと定期通院の重要性
入れ歯は作って終わりではなく、日々のケアと定期的なチェックが欠かせません。毎日の清掃を怠ってしまうと、入れ歯に汚れが溜まりやすくなり、口臭や歯ぐきの炎症、歯周病のリスクが高まることがあります。
また、長く使ううちに摩耗やわずかな変形が進み、最初はぴったりだった装着感にもズレが出てくることがあります。こうした変化に気づかず使い続けると、かみ合わせのバランスが崩れたり、不快感が増したりすることもあるのです。
定期的に歯科医院でチェックを受けることで、こうした不具合を早期に見つけ、必要な調整を受けることができます。日々のセルフケアとあわせて、プロによるメンテナンスを取り入れることが、入れ歯を長く使うためのコツといえるでしょう。
関口歯科の前歯の入れ歯治療とは?

関口歯科での入れ歯治療の特徴をご紹介します。
関口歯科の入れ歯治療の特徴
関口歯科で入れ歯治療を担当するのは、日本有床義歯学会の認定医です。さらに、国内でも技術力の高い歯科技工士との連携により、見た目にも使い心地にもこだわった義歯の提供が可能です。
取り扱っているのは、金属床義歯・コーヌス義歯・BPSデンチャー・ノンクラスプデンチャーなどの種類です。どのタイプも精密な型取りと噛み合わせの細かな調整を重ねながら、発音や咀嚼など機能面にも配慮した仕上がりを目指しています。前歯だからこそ求められる、自然さと快適さに応える入れ歯治療を提供しています。
関口歯科の入れ歯治療については、以下をご覧ください。

ライフスタイルに合わせた
最適な治療法を提示いたします。
関口歯科の入れ歯治療の事例
当院での入れ歯治療の症例を紹介します。
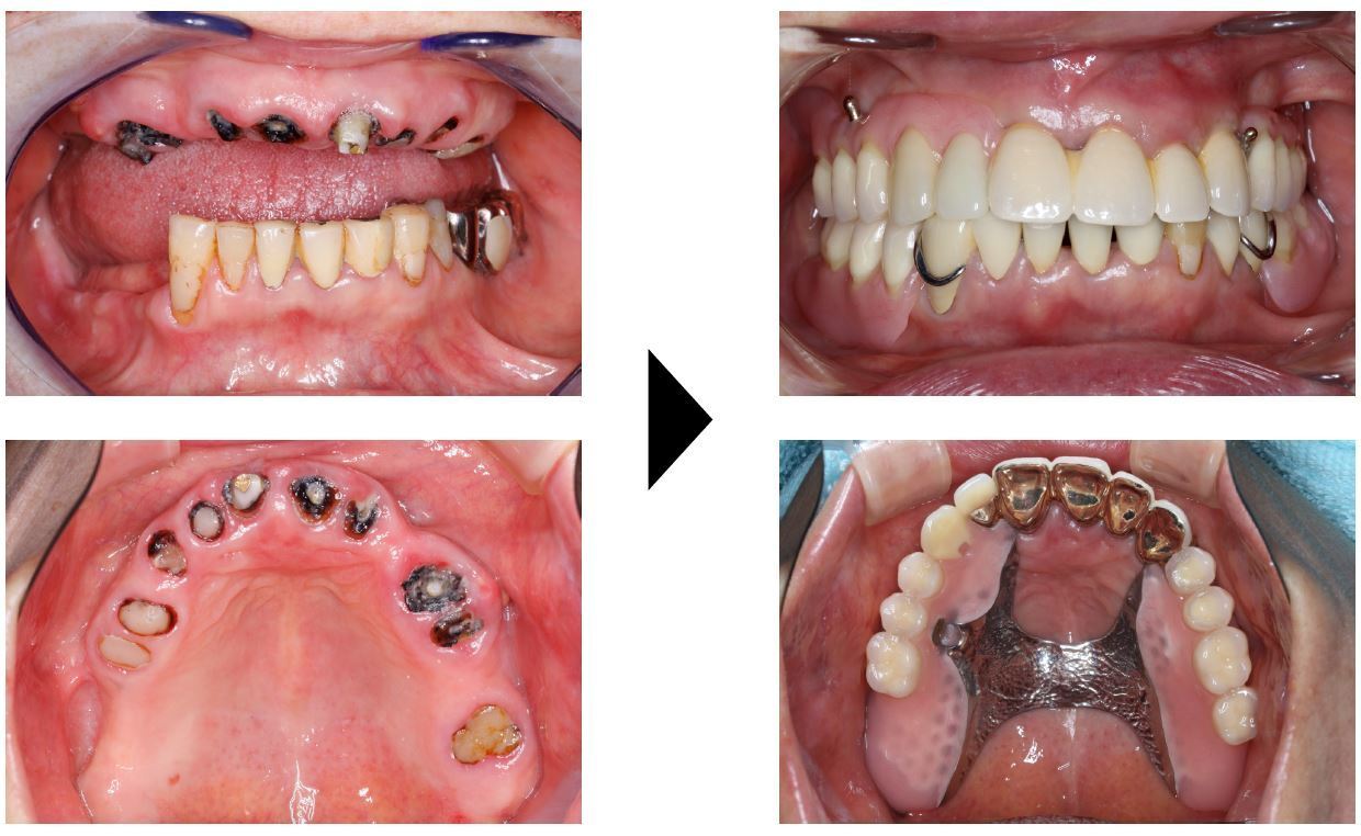
【75歳男性】

前歯のブリッジが外れ、噛めなくなってしまった方に対し、入れ歯を作成しました。一般的な入れ歯ではずれやすさや痛みが出ることもありますが、コーヌス義歯はフィット感に優れ、装着中の違和感が少ないです。
前歯部分にも金具が見えず、入れ歯とは気づかれにくい自然な見た目に仕上がりました。インプラントには抵抗があるという方でしたが、外科処置なしでしっかり噛めるようになりました。
| 主訴 | ブリッジが外れてしまい、全く噛めなくなった。 |
| 治療内容 | 上顎:コーヌス義歯(着脱式) 下顎:クラスプ(金具タイプ)義歯 |
| 治療期間 | 2年間 |
| 治療費 | 約3,000,000円(上下合計) |
| リスク・副作用 | ※予後を完全に保証する治療ではありません。 ※自由診療での治療です。 ※色調を合わせることが難しく、一度で色調が再現できないことがあります。再度色合わせが必要になるケースがあります。 ※精密な装置であるため、装置を落としたときに壊れやすいです。 |
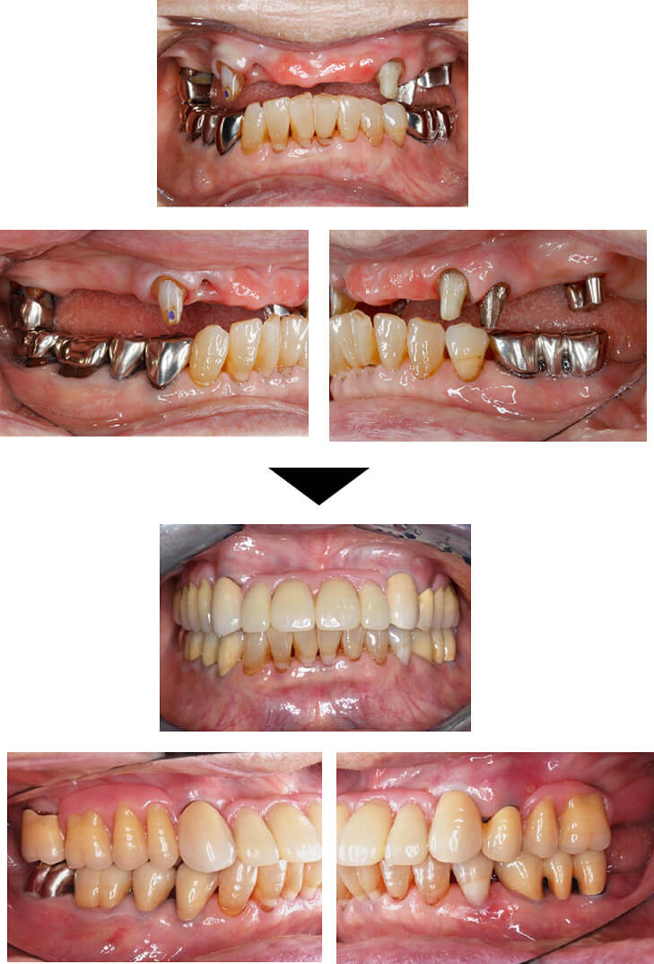
【70歳男性】

入れ歯の不具合と虫歯のお悩みで来院された患者さまに、上顎にコーヌス義歯、下顎にはセラミッククラウンを用いた治療を行いました。
上顎には、見た目が自然で長く使える入れ歯を採用しました。前歯にも違和感なくなじみ、審美性の高さにご満足いただいています。下顎は歯周病や根の治療を丁寧に行ったうえで、セラミックによる修復を実施し、自然な仕上がりを実現しました。
| 主訴 | 入れ歯の不具合と虫歯を治したい。 |
| 治療内容 | 上顎:コーヌス義歯(着脱式) 下顎:セラミッククラウン |
| 治療期間 | 2年間 |
| 治療費 | 約4,000,000円(上下合計) |
| リスク・副作用 | ※予後を完全に保証する治療ではありません。 ※自由診療での治療です。 ※色調を合わせることが難しく、一度で色調が再現できないことがあります。 ※再度色合わせが必要になるケースがあります。 ※精密な装置であるため装置が落としたときに破損するときがあります。 |
当院の症例は以下ページでご紹介していますので、あわせてご覧ください。

ライフスタイルに合わせた
最適な治療法を提示いたします。
前歯の入れ歯に関するよくある質問

前歯の入れ歯については、見た目や使い心地、治療の流れなど、気になる点が多いものです。初めての方にとっては不安もあるかもしれませんが、よくある疑問をあらかじめ知っておくことで、安心して治療に臨めます。
前歯の入れ歯に慣れるまでの期間はどのくらい?
入れ歯を装着した直後は、違和感があったり、うまく発音できなかったりと、使いにくさを感じることがあります。ただし、多くの方は1〜2週間ほどで日常の会話や食事に慣れていきます。慣れるまでの期間には個人差があるため、焦らず少しずつ使いながら調整することが大切です。
もし痛みや不快感が長く続くようであれば、入れ歯が合っていない可能性があるため、早めに歯科医院での調整をおすすめします。
前歯の入れ歯は会話にどの程度影響する?
前歯は、サ行・タ行・ラ行など、発音に大きく関わる場所です。そのため、入れ歯の厚みや形が合っていないと、話しづらさや発音の違和感などがあります。
ただし、精密な型取りや細かな調整を行うことで、多くのケースで自然な会話が可能になります。最初は話しづらく感じても、使い続けながら発音に慣れていく方が多く見られますのでご安心ください。
前歯の入れ歯はどのくらい長持ちする?
入れ歯の寿命は、素材や使い方によって異なります。保険診療で作るレジン床の入れ歯は3〜5年程度が目安とされる一方で、金属床義歯や精密義歯など自由診療のものでは10年以上使えることもあります。
毎日の清掃や定期的なメンテナンスをきちんと行うことで、入れ歯をより長く快適に使い続けられます。
前歯の入れ歯のお手入れ方法は?
前歯の入れ歯は、見た目の清潔感も大切なポイントです。基本的には毎食後に取り外して、流水でやさしく汚れを洗い流します。専用の入れ歯ブラシや中性洗剤を使うと、より効果的に清掃できますが、強くこすりすぎると破損の原因になるため注意が必要です。
就寝中は洗浄剤に浸けておき、口の中の歯や歯ぐきも一緒にケアすることで、清潔な状態を保ちやすくなります。
前歯の入れ歯を作る流れは?
治療はまずカウンセリングと口の中の診査からスタートします。その後、精密な型取りを行い、かみ合わせや顎の動きもチェックしながら設計を進めます。
見た目や咬み心地を確認する仮合わせ(試適)を経て、最終的な入れ歯を完成・装着しますが、自由診療では仮義歯を作成しより満足できる仕上がりを目指します。
装着後も数回の調整を行い、定期的な通院でメンテナンスを続けましょう。
前歯の入れ歯選びで後悔しないために|関口歯科にご相談ください

前歯の入れ歯は、見た目の印象や会話・食事のしやすさなど、日々の生活に大きく関わる治療です。保険診療は費用を抑えて短期間で始められるメリットがありますが、自然な見た目やフィット感には限界があります。一方、自由診療の入れ歯では、素材や設計にこだわることで、より快適で見た目にも優れた仕上がりが期待できます。
入れ歯選びで大切なのは、費用だけでなく「これからどんなふうに過ごしたいか」を基準にすることです。関口歯科では、金属床義歯・コーヌス義歯・BPSデンチャー・ノンクラスプデンチャーなど、精度の高い自由診療の入れ歯をご用意しています。歯科医師と経験豊富な歯科技工士が連携し、一人ひとりにあ わせた入れ歯をご提案しています。
「見た目も使い心地も妥協したくない」という方は、まずはお気軽にご相談ください。あなたに合った最適な選択を、一緒に見つけていきましょう。
ライフスタイルに合わせた
最適な治療法を提示いたします。
-
日本歯科大学歯学部
-
丸山歯科クリニック(渋谷区)
-
四谷三丁目歯科矯正歯科(新宿区)
-
日本顕微鏡歯科学会 認定医
-
日本歯周病学会 認定医
-
日本有床義歯(入れ歯)学会 認定医
-
BPSデンチャー(総義歯)クリニカルデンティスト
-
臨床歯科を語る会
-
F会
-
Academy of Microscope Enhanced Dentistry(アメリカ顕微鏡歯科学会)認定医
もっと見る




