ノンクラスプデンチャーの費用はいくら?相場・選び方と注意点を歯科医師が解説
ノンクラスプデンチャーに興味はあるけど、「費用はどれくらい?」「保険は使える?」「自分に本当に合うかな?」と不安に感じている方も多いのではないでしょうか。
ノンクラスプデンチャーは、金属のバネが見えにくく、見た目に配慮した入れ歯として知られています。
しかし、すべてのケースに適しているわけではなく、お口の状態によっては向いていない場合もあります。
今回は、ノンクラスプデンチャーの費用相場や価格の違いが生まれる理由、メリットとデメリット、寿命の目安や長持ちさせるための工夫、さらには他の入れ歯治療との違いについて、分かりやすく解説します。
また、当院が大切にしている入れ歯治療への考え方にも触れながら、後悔しない治療選びの参考になる情報をお届けしますので、ぜひ最後までお読みください。
目次
ノンクラスプデンチャーとはどんな入れ歯?

まずは、ノンクラスプデンチャーの特徴を見ていきましょう。
ノンクラスプデンチャーとは?
ノンクラスプデンチャーは、従来の部分入れ歯に使われる金属のバネ(クラスプ)を使わず、歯ぐきの色に近い弾力のある樹脂素材で作られた入れ歯です。バネが目立たないため自然に見えやすく、見た目を気にする方にとって魅力的な選択肢となっています。
見た目・装着感
金属のバネがない設計により、口を開けても入れ歯が目立ちにくい点が大きな特徴です。
人と接する機会が多いなど、見た目が気になる場面が多い方には安心感があるでしょう。
ノンクラスプデンチャーに使用される樹脂は軽量でやわらかく、口にフィットしやすい性質を持っているため、入れ歯をつけたときの快適さにもつながります。
さらに、金属を使わないため、金属アレルギーのリスクを避けたい方からも選ばれています。
知っておきたい注意点
ノンクラスプデンチャーは自由診療となるため、保険適用の入れ歯と比べて費用が高くなるのが一般的です。
また素材の特性上、強い力で壊れたり変形したりする可能性があるほか、バネがない分外れやすいこともあります。
選ぶときはしっかりと説明を受け、自分に合っているかを確認しましょう。
ノンクラスプデンチャーの費用はいくら?

ノンクラスプデンチャーは保険が使えない自由診療のため、費用に幅があります。価格に差が出る理由や相場の目安を把握しておくことがポイントです。
費用相場の目安
ノンクラスプデンチャーの費用は、作る範囲やなくなった歯の本数によって変わります。
奥歯1本だけのケースと、広い範囲にわたるケースとでは必要な設計や工程が大きく変わるため、費用にも差が出ます。
一般的な相場としては、30万〜80万円程度です。ただしこれはあくまで目安であり、実際の費用は、診断結果や使用する素材、入れ歯の設計内容によって決定されます。
費用に差が出る理由
費用に差が出る理由として、まずなくなっている歯の本数と位置が挙げられます。補う範囲が広くなるほど、費用も高くなる傾向があります。
また、残っている歯の状態や噛み合わせのバランスによって、設計が複雑になることがあります。
特に、残っている歯への負担を最小限に抑えるような調整が必要な場合、細かい設計が求められ、それに伴いコストも上がります。
さらに使用する樹脂の品質や製作工程の違いでも、費用が変わってきます。
保険が使えない理由
ノンクラスプデンチャーが保険適用されないのは、日本の保険制度で使える材料や治療方法に制限があるからです。
保険診療では使用できる材料や設計に制約があるため、審美性や機能性を重視した治療は対象外とされます。
自由診療であれば、こうした制限がないため、患者さまの要望やお口の状態に合わせた高品質な素材や、自然な見た目を重視した設計が可能になります。
費用は高くなりますが、初期費用だけで判断せず、修理のしやすさや長持ちするかどうかも含めて、トータルでの費用対効果を考えましょう。
ノンクラスプデンチャーのメリット・デメリット

見た目の自然さや装着感の良さで選ばれるノンクラスプデンチャーですが、素材の特性による注意点もあります。メリットとデメリットを見ていきましょう。
ノンクラスプデンチャーのメリット
ノンクラスプデンチャーは金属のバネがないため、装着していても入れ歯が目立ちにくく、自然な口元に見せられるのが大きなメリットです。
人と話す場面や笑顔になるときも、見た目を気にせず過ごせるため、精神的な負担が軽減されるという声も多く聞かれます。
また、金属アレルギーの人でも安心な樹脂素材を選べるのもポイントです。
素材が薄く軽いため、従来の入れ歯と比べて、違和感が少なく装着中の快適さにもつながります。
ノンクラスプデンチャーのデメリット
一方で、デリケートな素材の特性上、強い衝撃や落下によって壊れたり変形しやすかったりする点には注意しましょう。
長く使っていると、変色やゆるみなどの経年劣化が見られることもあります。
ケースによっては入れ歯が安定せず、装着時に動きを感じることもあるでしょう。
合わない状態のまま使用を続けると、残っている歯や歯ぐきに負担がかかり、トラブルの原因になる可能性があります。
また、構造上修理が難しいことがあり、破損時には作り直しになることもあります。歯を覆う設計のため、ケアが不十分な場合には虫歯や歯周病のリスクが高まる可能性もあります。
ノンクラスプデンチャーの寿命はどのくらい?

ノンクラスプデンチャーの寿命は、使い方やケアの方法によって大きく変わります。長く使うためのポイントを確認しておきましょう。
寿命の目安
ノンクラスプデンチャーの寿命は、一般的に3年~5年程度といわれています。ただしこれはあくまで目安であり、使用状況や噛む力、日々のケア、定期的にメンテナンスをしているかどうかによって変わります。
丁寧に扱い、きちんと管理することで、寿命を延ばすことができます。
手入れと保管方法
入れ歯を長く快適に使うには、毎日の正しいお手入れと正しく保管することが重要です。
お手入れの際には、研磨剤の入っていない洗浄剤と入れ歯専用のブラシを使い、食べかすや汚れを優しく取り除きましょう。
また、熱湯は変形の原因になるため使用せず、常温の水やぬるま湯で洗って保管するのが基本です。乾燥を防ぐため、専用容器に洗浄液や水を入れて保管するのがおすすめです。
長く使うために欠かせないメンテナンス
ノンクラスプデンチャーを長持ちさせるには、歯科医院での定期的なチェックが重要です。噛み合わせやフィット感を確認し、必要があれば調整を行います。
定期的にメンテナンスを受けることで、お口への負担を軽減し、残っている歯や歯ぐきの健康を守ることにもつながります。
また、小さな不具合を早めに発見できれば、大きなトラブルを防ぐこともできます。
他の入れ歯・治療法との違い

歯を失った際の治療法には、入れ歯以外にも複数の選択肢があります。それぞれの特徴を理解したうえで、自分に合った方法を選びましょう。
自由診療の入れ歯の種類
ノンクラスプデンチャーのほかにも、自由診療の入れ歯にはいくつかのタイプがあります。
たとえば金属床義歯は強度が高く、薄く作れるため違和感が少なく、温かさや冷たさも伝わりやすいのが特徴です。
コーヌス義歯は、残っている歯にキャップをかぶせて維持力を高める仕組みで、安定性が高く外れにくい設計となっています。
精密義歯(BPSデンチャー)は、細かく精密な型取りを重ねて製作されるため、フィット感に優れ、噛みやすさも追求された入れ歯です。
見た目を重視するのか、安定感を求めるのか、それとも快適さや耐久性を重視するのかによって、選ぶべき入れ歯の種類は異なります。
入れ歯の種類については、こちらの記事でも詳しく解説しています。

ブリッジ・インプラントとの違い

入れ歯以外の選択肢として、ブリッジやインプラントもありますが、ブリッジは失った歯の両隣を削って橋のように人工歯を固定する治療法です。
外科手術は不要ですが、健康な歯を削る必要があります。
インプラントは、顎の骨に人工歯根を埋め込み、その上に人工歯を取り付ける方法です。自分の歯に近い感覚で噛めるのが大きなメリットですが、手術が必要で、治療期間が長く、費用も比較的高額になります。
これらに対し、入れ歯は取り外しができるのが特徴で、治療の負担を抑えたい方にも選ばれています。
それぞれ、治療期間や費用、メンテナンスの方法が異なるため、自分のライフスタイルやお口の状態に合った治療法を選ぶようにしましょう。
インプラント治療についてはこちらのページをご覧ください。

関口歯科の入れ歯治療について

関口歯科では、見た目だけでなく機能性や将来性も踏まえて、一人ひとりに合った入れ歯治療をご提案しています。
入れ歯は「選んで決める」
ノンクラスプデンチャーは、当院がご提案する入れ歯の選択肢の1つです。患者さまの口腔内の状態だけでなく、年齢、生活習慣、将来の変化なども考慮したうえで、一人ひとりに適した治療法を一緒に検討していきます。
見た目の美しさはもちろん、噛みやすさや安定性、長く使えるかどうかといった点も大切にしています。
金属床義歯・コーヌス義歯・精密義歯(BPSデンチャー)など、それぞれのメリット・デメリットを分かりやすくご説明し、納得のうえで選んでいただけるよう心がけています。
精密な診断とオーダーメイド設計

入れ歯治療は、日本有床義歯学会の認定医が担当します。
専門的な知識と経験を活かし、残っている歯の状態だけでなく、噛み合わせや顎の動きまで含めて総合的に診断を行います。
入れ歯だけではなく、お口全体のバランスを見ながら設計することで、快適な装着感と自然な見た目を実現します。国内でもトップクラスの歯科技工士と密に連携し、症例ごとに細かい調整を重ねながら、高品質なオーダーメイドの入れ歯を丁寧に作り上げています。
関口歯科の入れ歯治療の特徴は、以下のページをご覧ください。

ライフスタイルに合わせた
最適な治療法を提示いたします。
関口歯科の入れ歯治療の症例紹介
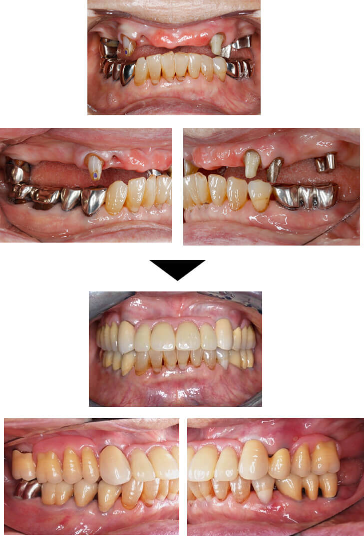
関口歯科の入れ歯治療の症例を2つ紹介します。どちらも見た目に配慮した入れ歯です。
※以下の症例は、ノンクラスプデンチャーに限らず、関口歯科で行っている入れ歯治療全体の一例です。
68歳女性

上の歯がグラグラで、食事もままならないというお悩みで来院されました。診察の結果、上顎の歯はすべて保存が難しく、抜歯を行ったうえで総義歯を製作しました。
しっかり吸着するよう調整を重ね、装着時の違和感も少なく、安定した状態を保てています。
下顎には残っている歯が数本あったため、それらを活かしてテレスコープ義歯(着脱式)を製作しました。見た目にも配慮し、金属のバネが外から見えない自然な仕上がりを実現しています。
| 主訴 | 上の歯がグラグラで食事が取れない |
| 治療内容 | 上顎総義歯下顎テレスコープ義歯(着脱式) |
| 治療期間 | 1年間 |
| 治療費 | 約3,000,000円 |
| リスク・副作用 | ※予後を完全に保証する治療ではありません。※自由診療での治療です。※精密な装置であるため装置を落としたときに破損することがあります。 |
70歳男性

「入れ歯が合わない」「虫歯も気になる」といったお悩みで来院された患者さまです。
上顎には、見た目にも自然で長期間使いやすいテレスコープ義歯(着脱式)を採用しました。
しっかりフィットするため、噛みやすく、見た目にも入れ歯だと気づかれにくい仕上がりです。
下顎は、残っている歯の歯周病治療と根管治療を行ったうえで、セラミッククラウンによる修復を実施しました。歯の色味や形にもこだわり、自然な美しさに整えました。
| 主訴 | 入れ歯の不具合と虫歯を治したい。 |
| 治療内容 | 上顎テレスコープ義歯(着脱式)下顎セラミッククラウン |
| 治療期間 | 2年間 |
| 治療費 | 約4,000,000円(上下合計) |
| リスク・副作用 | ※予後を完全に保証する治療ではありません。※自由診療での治療です。※精密な装置であるため装置を落としたときに破損することがあります。 |
関口歯科で行っている入れ歯治療の症例は、以下のページでもご覧いただけます。参考として、あわせてご確認ください。

ライフスタイルに合わせた
最適な治療法を提示いたします。
入れ歯に関するよくある質問(FAQ)

ノンクラスプデンチャーに関する疑問は多く寄せられます。特にご相談の多い内容をQ&A形式でまとめました。
ノンクラスプデンチャーは保険適用ですか?
ノンクラスプデンチャーは保険適用外の自由診療です。保険診療の入れ歯と比べて費用は高くなりますが、素材や設計の自由度が高く、見た目や装着感にこだわった入れ歯を選べるのが特徴です。
ノンクラスプデンチャーの費用はどれくらいかかりますか?
費用は入れ歯の大きさや設計、使われる素材によって異なりますが、一般的には30万〜50万円程度が目安です。
当院では、診断後にお口の状態に合わせた治療計画を立て、事前に費用について丁寧にご説明していますので、安心してご相談ください。
ノンクラスプデンチャーの寿命はどのくらいですか?
おおよその寿命は3年〜5年程度とされています。
ただし、毎日の使い方やお手入れの状態、噛み合わせによって持ちが変わります。定期的に歯科で調整・チェックを受けることで、より長く快適に使うことが可能です。
ノンクラスプデンチャーはどんな人に向いていますか?
金属バネが見えるのが気になる方や、自然な見た目を重視したい方、金属アレルギーが心配な方に適しています。
ただし、すべての症例に対応できるわけではないため、まずは歯科医師による診断を受けて、自分に合っているかどうかを確認することが重要です。
他の入れ歯やインプラントとの違いを教えてください。
ノンクラスプデンチャーは取り外し式の部分入れ歯です。
一方、ブリッジは両隣の歯を削って固定する方法、インプラントは人工の歯を顎に埋め込む外科的な治療で、いずれも固定式です。
それぞれ、費用・安定性・メンテナンス方法・治療期間が異なります。ライフスタイルやお口の状態に合わせて、歯科医師と一緒に最適な方法を選びましょう。
ノンクラスプデンチャーで迷ったら関口歯科にご相談ください

ノンクラスプデンチャーは、見た目に配慮した入れ歯として有効な選択肢のひとつですが、すべての方に最適とは限りません。
費用や審美性、使いやすさを含めて、総合的に検討しましょう。
関口歯科では、ノンクラスプデンチャーに限らず、金属床義歯・コーヌス義歯・精密義歯(BPSデンチャー)など、複数の選択肢の中から患者さま一人ひとりに合った入れ歯をご提案しています。
「自分にはどの入れ歯が合うのか分からない」「費用が心配」「見た目も重視したい」そんなお悩みも、まずはお気軽にご相談ください。早めに相談することが、納得のいく治療選びにつながります。
ライフスタイルに合わせた
最適な治療法を提示いたします。
-
日本歯科大学歯学部
-
丸山歯科クリニック(渋谷区)
-
四谷三丁目歯科矯正歯科(新宿区)
-
Academy of Microscope Enhanced Dentistry(アメリカ顕微鏡歯科学会)認定医
-
日本顕微鏡歯科学会 認定医
-
日本歯周病学会 認定医
-
日本有床義歯(入れ歯)学会 認定医
-
BPSデンチャー(総義歯)クリニカルデンティスト
-
臨床歯科を語る会
-
F会
もっと見る




